(630) 914-3505
Smile Gallery
Sparking Infectious Smiles That Light Up the World
At our practice, we blend pioneering dental technology with the most advanced training and techniques. This powerful combination allows us to craft truly breathtaking smiles for our valued patients. Explore the remarkable smile makeovers we've provided - the incredible before and after results speak for themselves.
Don't wait to unveil your most radiant, confident smile. Schedule your visit today and discover how our skilled team can meticulously redesign your smile, revealing a brilliant new look tailored just for you.
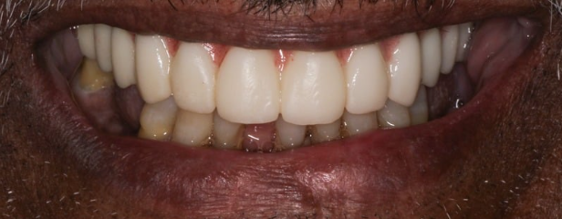
All-On-6 Implants
All-On-6 Implants
Clear Aligner Therapy
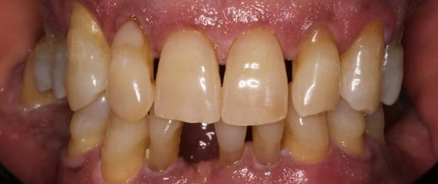
Full Mouth Reconstruction With Custom Stained Crowns
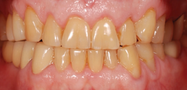
Full Mouth Reconstruction With Dental Crowns
Implant Denture
Lower Porcelain Veneers
Smile Makeover With Porcelain Veneers
Smile Makeover With Porcelain Veneers
Smile Makeover With Porcelain Veneers
Smile Makeover With Porcelain Veneers










